MEDIAKOMPETEN.CO.ID - Sebuah temuan medis yang sangat jarang terjadi berhasil diidentifikasi oleh tim dokter di India baru-baru ini. Kondisi langka ini melibatkan seorang pasien pria yang usianya menginjak 31 tahun.

Kunjungan awal pasien ke fasilitas kesehatan tersebut sebenarnya bukan disebabkan oleh kelainan bawaan, melainkan untuk mendapatkan penanganan atas infeksi saluran kemih (ISK) yang tergolong parah. Infeksi ini diduga menjadi pintu masuk bagi diagnosis yang lebih mengejutkan.

Selama lima hari sebelum datang ke rumah sakit, pasien telah mengalami gejala yang signifikan dan mengkhawatirkan. Gejala utama yang dirasakan adalah nyeri hebat yang terpusat di sisi kanan punggung bawah.

Selain nyeri lokal, pasien juga melaporkan adanya sensasi rasa terbakar yang muncul setiap kali ia buang air kecil, menandakan adanya iritasi serius pada sistem urogenitalnya. Kondisi ini diperparah dengan kenaikan suhu tubuh yang cukup tinggi.

Demam tinggi mencapai 39 derajat Celsius menjadi salah satu indikator penting bahwa infeksi yang dialami pasien sudah cukup aktif dan memerlukan intervensi medis segera. Tanda-tanda vital pasien lainnya dilaporkan masih berada dalam rentang normal saat pemeriksaan awal dilakukan.

Melalui analisis sampel urine, para profesional medis berhasil mengidentifikasi adanya bakteri spesifik yang menjadi biang keladi infeksi tersebut. Bakteri yang ditemukan adalah Klebsiella pneumoniae.

"Dokter mengidentifikasi adanya bakteri Klebsiella pneumoniae yang memang dikaitkan dengan infeksi saluran kemih dan mengonfirmasi adanya infeksi aktif," demikian disampaikan oleh tim medis yang menangani kasus tersebut. Hasil pemeriksaan menunjukkan bahwa urine pasien tampak keruh.

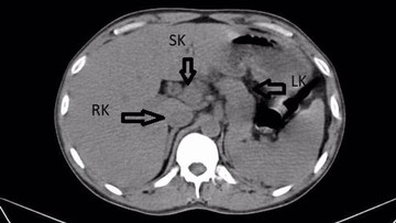
Penemuan organ ginjal ketiga yang berbentuk tidak biasa ini menjadi fokus utama setelah infeksi berhasil ditangani. Bentuk organ tambahan tersebut dideskripsikan memiliki morfologi yang menyerupai tapal kuda.

Dilansir dari laporan kasus tersebut, keberadaan organ tambahan ini menambah kompleksitas diagnosis awal yang hanya berfokus pada penanganan infeksi akut yang dialami pasien. Studi lebih lanjut mengenai ginjal ektopik ini sangat penting dilakukan.