MEDIAKOMPETEN.CO.ID - Seorang pria berusia 31 tahun di wilayah Wardha, India, baru-baru ini menarik perhatian komunitas medis setelah menjalani perawatan intensif karena mengalami Infeksi Saluran Kemih (ISK) yang cukup parah. Kondisi ini mengharuskannya segera mendapatkan penanganan medis di fasilitas kesehatan terdekat.

Awalnya, kedatangan pasien ke rumah sakit hanya didasari oleh keluhan umum yang sering dialami penderita ISK. Namun, serangkaian pemeriksaan mendalam mengungkapkan adanya anomali yang sangat langka pada sistem organ tubuhnya.

Pasien tersebut dilaporkan telah mengalami nyeri hebat di bagian sisi kanan punggung bawah selama kurang lebih lima hari sebelum mencari pertolongan. Nyeri ini menjadi indikasi awal bahwa ada masalah serius yang terjadi pada sistem urinarianya.

Selain nyeri lokal, pasien juga mengeluhkan gejala khas infeksi saluran kemih, yaitu sensasi terbakar yang terasa saat ia sedang buang air kecil. Gejala ini menunjukkan peradangan signifikan di saluran kemihnya.

Kondisi semakin diperparah dengan adanya demam tinggi yang melanda pasien, mencapai suhu lebih dari 39 derajat Celsius. Demam tinggi ini mengindikasikan bahwa infeksi yang dialami sudah menyebar atau cukup mengkhawatirkan.

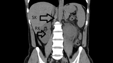
Namun, saat tim dokter melakukan evaluasi lebih lanjut untuk menangani ISK tersebut, mereka dikejutkan dengan penemuan tak terduga di tubuh pasien. Dokter berhasil mengidentifikasi adanya organ tambahan yang tidak lazim.

"Pasien tersebut memiliki ginjal tambahan," tegas salah satu sumber medis yang terlibat dalam penanganan kasus langka ini. Penemuan ini menjadi bagian penting dari diagnosis komprehensifnya.

Kondisi memiliki organ tambahan, seperti ginjal ketiga, merupakan sebuah kelainan bawaan yang jarang sekali terdeteksi, apalagi saat pasien datang dengan keluhan infeksi biasa. Temuan ini mengubah fokus penanganan medis secara keseluruhan.

Proses pengobatan kini tidak hanya berfokus pada penyembuhan ISK parah yang dideritanya, tetapi juga memerlukan pemahaman mendalam mengenai fungsi dan kondisi ginjal ketiganya. Perkembangan kasus ini terus dipantau secara ketat, dilansir dari berbagai laporan medis setempat.